Ring forms: Difference between revisions
From haematologyetc.co.uk
No edit summary |
No edit summary |
||
| Line 39: | Line 39: | ||
</gallery> | </gallery> | ||
''Small and often delicate rings that thicken at later developmental stages although they remain relatively small with a "ring appearance".'' | ''Small and often delicate rings that thicken at later developmental stages although they remain relatively small with a "ring appearance". Noe also the appearance of characteristic Maurer's dots and clefts within the red cell cytoplasm as the parasites develop'' | ||
---- | ---- | ||
Revision as of 12:19, 11 March 2024
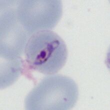
What is a ring form?
The earliest stage following red cell invasion has a typical ting form:
- a = chromatin dot
- b = digestive vacuole
- c = parasite cytoplasm
Description
At the earliest stage of red cell infection parasites of all species have the form of a "ring". Distinction between species at this stage may not be easy (or even possible). However as the parasite mature and develop differences between species become more apparent. In some species the ring appearance is maintained until late stages of maturation, in others there is loss of a typical ring appearance
- P.falciparum: Typically the rings small and delicate, rings tend to persist from early trophozoite until late stages although they may thicken
- P.ovale: Typical rings are large and robust and this shape may persist until late stages of development (contrast with P.vivax)
- P.malariae: Rings are small but more substantial that P.falciparum becomeing solid or bad and losing the ring appearance as they develop
- P.knowlesi: Early forms resemble P.falciparum; as they mature they often extend and become solid or band-like resembling P.malariae
- P.vivax: Early stages appear as rings becoming irregular then eventually taking on a more typical amoeboid appearance at later stages
These changes can be very useful in identifying the different malaria species; these are illustrated for maturing trophozoites below:
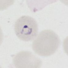
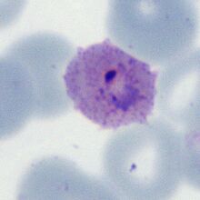
P.falciparum
Small and often delicate rings that thicken at later developmental stages although they remain relatively small with a "ring appearance". Noe also the appearance of characteristic Maurer's dots and clefts within the red cell cytoplasm as the parasites develop
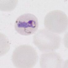
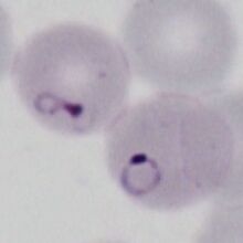
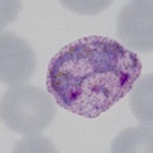
P.ovale
Robust rings that enlarge during parasite development, although the ring form can often still be distinguished
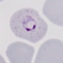
P.malariae
Small but more robust than P.falciparum, the parasites become more solid as they develop and may extend as a band across the cells
P.knowlesi

small or normal P.malariae (round)
P.vivax

small or normal P.malariae (round)