Trophozoites: diagnostic guide: Difference between revisions
From haematologyetc.co.uk
(Created page with "''' ''P.falciparum'' ''' <gallery mode="nolines" widths="220px" heights="220px" > File:MFETr.jpg|link={{filepath:MFETr.jpg}} File:MFITr.jpg|link={{filepath:MFITr.jpg}} File:MFLTr.jpg|link={{filepath:MFLTr.jpg}} </gallery> ''Small and often delicate rings that thicken at later developmental stages although they remain relatively small with a "ring appearance". Note that the red cell size is unchaged and not distorted, also the appearance of characteristic Maurer's dots...") |
No edit summary |
||
(5 intermediate revisions by the same user not shown) | |||
Line 1: | Line 1: | ||
---- | |||
''' ''P.falciparum'' ''' | ''' ''P.falciparum'' ''' | ||
<gallery mode="nolines" widths=" | <gallery mode="nolines" widths="200px" heights="220px" > | ||
File:MFETr.jpg|link={{filepath:MFETr.jpg}} | File:MFETr.jpg|link={{filepath:MFETr.jpg}} | ||
File:MFITr.jpg|link={{filepath:MFITr.jpg}} | File:MFITr.jpg|link={{filepath:MFITr.jpg}} | ||
Line 12: | Line 14: | ||
''' ''P.vivax'' ''' | ''' ''P.vivax'' ''' | ||
<gallery mode="nolines" widths=" | <gallery mode="nolines" widths="200px" heights="220px" > | ||
File:MVETr.jpg|link={{filepath:|MVETr.jpg}} | File:MVETr.jpg|link={{filepath:|MVETr.jpg}} | ||
File:MVITr.jpg|link={{filepath:MVITr.jpg}} | File:MVITr.jpg|link={{filepath:MVITr.jpg}} | ||
Line 23: | Line 25: | ||
''' ''P.ovale'' ''' | ''' ''P.ovale'' ''' | ||
<gallery mode="nolines" widths=" | <gallery mode="nolines" widths="200px" heights="220px" > | ||
File:MOETr.jpg|link={{filepath:|MOETr.jpg}} | File:MOETr.jpg|link={{filepath:|MOETr.jpg}} | ||
File:MOITr.jpg|link={{filepath:MOITr.jpg}} | File:MOITr.jpg|link={{filepath:MOITr.jpg}} | ||
Line 34: | Line 36: | ||
''' ''P.malariae'' ''' | ''' ''P.malariae'' ''' | ||
<gallery mode="nolines" widths=" | <gallery mode="nolines" widths="200px" heights="220px" > | ||
File:MMETr.jpg|link={{filepath:|MMETr.jpg}} | File:MMETr.jpg|link={{filepath:|MMETr.jpg}} | ||
File:MMITr.jpg|link={{filepath:MMITr.jpg}} | File:MMITr.jpg|link={{filepath:MMITr.jpg}} | ||
Line 45: | Line 47: | ||
<gallery mode="nolines" widths=" | <gallery mode="nolines" widths="200px" heights="220px" > | ||
File:MKETr.jpg|link={{filepath:|MKETr.jpg}} | File:MKETr.jpg|link={{filepath:|MKETr.jpg}} | ||
File:MKITr.jpg|link={{filepath:MKITr.jpg}} | File:MKITr.jpg|link={{filepath:MKITr.jpg}} | ||
Line 52: | Line 54: | ||
The earliest forms of ''P.knowlesi'' may closely resemble ''P.falciparum'' with accole forms and multiple parasites in red cells common (often with high parasite number); as the forms mature they often extend and become solid or band-like resembling ''P.malariae''. | The earliest forms of ''P.knowlesi'' may closely resemble ''P.falciparum'' with accole forms and multiple parasites in red cells common (often with high parasite number); as the forms mature they often extend and become solid or band-like resembling ''P.malariae''. | ||
---- | |||
'''OTHER DISORDERS TO CONSIDER''' | |||
'''Babesia''' | |||
<gallery mode="nolines" widths="200px" heights="220px" > | |||
File:BabRing1.jpg|link={{filepath:|BabRing1.jpg}} | |||
File:BabRing2.jpg|link={{filepath:BabRing2.jpg}} | |||
File:BabRing3.jpg|link={{filepath:BabRing3.jpg}} | |||
</gallery> | |||
The babesia parasite has a ring form that can resemble the rings of ''P.falciparum'' The major distinguishing features are free parasites (arrowed in image 2) that may occur in clumps, large numbers of parasites within cells, and complex forms where the division process leads to linked forms (classically the rarely found "Celtic Cross" appearance. | |||
---- | ---- |
Latest revision as of 16:58, 14 March 2024
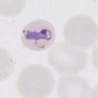
P.falciparum
Small and often delicate rings that thicken at later developmental stages although they remain relatively small with a "ring appearance". Note that the red cell size is unchaged and not distorted, also the appearance of characteristic Maurer's dots and clefts within the red cell cytoplasm as the parasites develop. Most frequently only the early developmental stage will be detected in blood
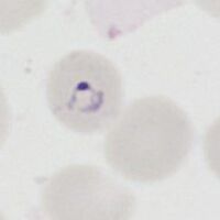
P.vivax
The trophozoites are usually present at all developmental stages, during parasite development they become solid and irregular developing an increasingly amoeboid appearance. During this development the red cells become markedly enlarged and distorted, with characteristic Schüffner's dots.
P.ovale
The rings are larger and more robust than in P.falciparun, and they enlarge further during parasite development although in this species the characteristic ring appearance can often still be distinguished even late in development. Note that red cells become enlarged and distorted (typically elongation and fimbriation) with characteristic James' dots.
P.malariae
The rings are small but generally appear more robust than P.falciparum, the parasites become more solid often losing the central digestive vacuole and may become angular or extend as a band across the cells. Red cells are not enlarged or distorted and are often reduced in size as they mature in this species
P.knowlesi
The earliest forms of P.knowlesi may closely resemble P.falciparum with accole forms and multiple parasites in red cells common (often with high parasite number); as the forms mature they often extend and become solid or band-like resembling P.malariae.
OTHER DISORDERS TO CONSIDER
Babesia
The babesia parasite has a ring form that can resemble the rings of P.falciparum The major distinguishing features are free parasites (arrowed in image 2) that may occur in clumps, large numbers of parasites within cells, and complex forms where the division process leads to linked forms (classically the rarely found "Celtic Cross" appearance.