Actions

Red cell size: Difference between revisions

From haematologyetc.co.uk

No edit summary
No edit summary
Line 35: Line 35:


<gallery mode="nolines" widths="200px" heights="220px" >
<gallery mode="nolines" widths="200px" heights="220px" >
File:3SizePMET.jpg|link={{filepath:|3SizePMET.jpg}}
File:3SizePMET.jpg|A|link={{filepath:|3SizePMET.jpg}}
File:4SizePFLT.jpg|link={{filepath:4SizePFLT.jpg}}
File:4SizePFLT.jpg|B|link={{filepath:4SizePFLT.jpg}}
</gallery>
</gallery>



Revision as of 21:28, 24 March 2024


Navigation
Go Back



How is red cell size and shape affected as malaria develops?


During parasite develop,emt each species alters the red cell that they occupy. These changes differ between species causing characteristic changes to.red. cell size and red cell shape. These changes occur from a relatively early stage of parasite development although the very earliest trophozoites may yet show these features


SMALL ROUND RED CELLS

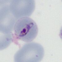
P.malariae:

The red cells in this species remain round and are often small in size

The early (A) and late trophozoites (B) shown in this image each lie within round erythrocytes with reduced size.


RED CELLS WITH UNCHANGED SIZE AND SHAPE

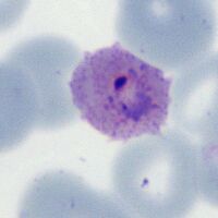
P.faliparum

Red cell size and shape is generally unchanged although they may become crenated

The early (A) trophozoites lie within red cells that do not change size or shape, at later development (B) they may remain unchanged or acquire subtle crenation.


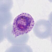
P.ovale

The rings are larger and more robust than in P.falciparun, and they enlarge further during parasite development although in this species the characteristic ring appearance can often still be distinguished even late in development. Note that red cells become enlarged and distorted (typically elongation and fimbriation) with characteristic James' dots.


P.malariae

The rings are small but generally appear more robust than P.falciparum, the parasites become more solid often losing the central digestive vacuole and may become angular or extend as a band across the cells. Red cells are not enlarged or distorted and are often reduced in size as they mature in this species



  • p..efalciparum red. cells unchanged in. size may. become crenated
  • p..eovale red. cells generally become enlarged and. ovoid may. become fimbriated
  • p..evivax red. cells significantly enlarged and. usually quite irregular

these changes are. illustrated for. early and. late trophozoite below

early trophozoites fsmall or normal p..emalariae round p..efalciparum round normal or. enlarged p..eovale may. become ovoid generally enlarged p..evivax may. become irregular late trophozoites file msi2.ejpg.


species significance these changes can. be. very helpful in. identifying malaria species ---- '),