Actions

P.vivax late trophozoites gallery: Difference between revisions

From haematologyetc.co.uk

No edit summary
No edit summary
 
(2 intermediate revisions by the same user not shown)
Line 17: Line 17:


<gallery mode="traditional" widths=240px heights=240px>
<gallery mode="traditional" widths=240px heights=240px>
File:PVLT1.jpg|<span style="font-size:80%">'''Very early double dot form''' Very early red cell changes with fine dots visible</span>|link={{filepath:PVLT1.jpg}}
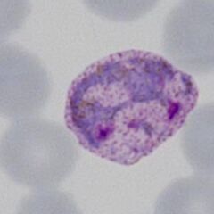
File:PVLT1.jpg|<span style="font-size:80%">'''Developing late trophozoite''' The ring form is lost, the parasite is very irregular</span>|link={{filepath:PVLT1.jpg}}
File:PVLT2.jpg|<span style="font-size:80%">'''Early ring form''' Dots are more visible and the red cell begins to show distortion.</span>|link={{filepath:PVLT2.jpg}}
File:PVLT2.jpg|<span style="font-size:80%">'''Late trophozoite''' Note the solid parasite and the red cell begins to show distortion.</span>|link={{filepath:PVLT2.jpg}}
File:PVLT3.jpg|<span style="font-size:80%">'''Early ring form''' The ring has thickened with established dots and altered red cell size</span>|link={{filepath:PVLT3.jpg}}
File:PVLT3.jpg|<span style="font-size:80%">'''Late trophozoite''' Similar to the previous example, the ring structure is entirely lost </span>|link={{filepath:PVLT3.jpg}}
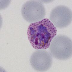
File:PVLT4.jpg|<span style="font-size:80%">'''Intermediate ring''' Amoeboid parasite within an enlarged distorted red cell with marked dots</span>|link={{filepath:PVLT4p.jpg}}
File:PVLT4.jpg|<span style="font-size:80%">'''Classical amoeboid form''' note also the very enlarged distorted red cell</span>|link={{filepath:PVLT4p.jpg}}
</gallery>"
</gallery>"

Latest revision as of 11:10, 4 April 2024


Navigation
Go Back


P.vivax gallery of late trophozoites


Summary There is no absolutely clear point at which early trophozoites of P.vivax become late trophozoites as it is simply a process of continuous development. However, the transition to an amoeboid parasite form where the original ring structure can no longer be seen will certainly place the parasites at this stage.


"