Actions

P.vivax early trophozoites gallery: Difference between revisions

From haematologyetc.co.uk

No edit summary
No edit summary
 
(9 intermediate revisions by the same user not shown)
Line 12: Line 12:


<span style="font-size:95%">'''Summary'''</span>
<span style="font-size:95%">'''Summary'''</span>
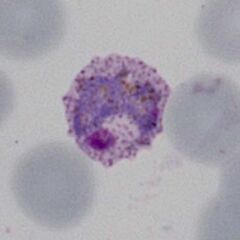
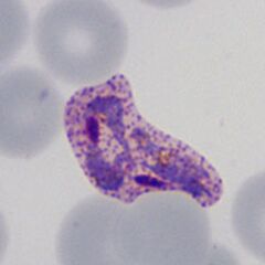
<span style="font-size:95%">At the very earliest point of growth, the malarial parasites may be difficult to distinguish from other early trophozoites. However, in this species a range of maturing forms are generally present and later forms begin to aquire characteristic features of the species - the trophozoites become larger and acquire thisckened and more irregular features. At the same time the red cells begin to enlarge and become less regular with the appearance of typical Schuffner's dots in the red cell cytoplasm.
<span style="font-size:95%">At the very earliest point of growth, the malarial parasites may be difficult to distinguish from other early trophozoites. However, in this species trophozoites begin to aquire characteristic features of the species - becoming larger and acquiring thisckened and more irregular features. At the same time the red cells begin to enlarge and become less regular; typical Schuffner's dots appear in the red cell cytoplasm.


----
----


<gallery mode="traditional" widths=240px heights=240px>
<gallery mode="traditional" widths=240px heights=240px>
File:PVET1p.jpg|<span style="font-size:80%">'''Fine ring form''' The small and delicate form of this species</span>|link={{filepath:PVET1p.jpg}}
File:PVET1.jpg|<span style="font-size:80%">'''Very early form''' Very early red cell changes with fine dots visible</span>|link={{filepath:PVET1.jpg}}
File:PVET2p.jpg|<span style="font-size:80%">'''Double chromatin dot form''' Two chromatin dots (sometimes known as "signet ring" form).</span>|link={{filepath:PVET2p.jpg}}
File:PVET2.jpg|<span style="font-size:80%">'''Early ring form''' Dots are more visible and the red cell begins to show distortion.</span>|link={{filepath:PVET2.jpg}}
File:PVET3p.jpg|<span style="font-size:80%">'''Accolé form''': The arrowed form is closely associated with the red cell membrane</span>|link={{filepath:PVET3p.jpg}}
File:PVET3.jpg|<span style="font-size:80%">'''Early ring form''' The ring has thickened with established dots and altered red cell size</span>|link={{filepath:PVET3.jpg}}
File:PVET4p.jpg|<span style="font-size:80%">'''Multiple parasites''' Two parasites within a single red cells (arrowed)</span>|link={{filepath:PVET4p.jpg}}
File:PVET4.jpg|<span style="font-size:80%">'''Intermediate ring''' Irregular parasite, possibly a double chromatin dot</span>|link={{filepath:PVET4p.jpg}}
File:PVET5p.jpg|<span style="font-size:80%">'''High parasitaemia''' Most of the typical early trophozoite ''P.falciparum'' forms are present</span>|link={{filepath:PVET5p.jpg}}
</gallery>"
</gallery>"

Latest revision as of 20:08, 4 May 2024


Navigation
Go Back


P.vivax gallery of early trophozoites


Summary At the very earliest point of growth, the malarial parasites may be difficult to distinguish from other early trophozoites. However, in this species trophozoites begin to aquire characteristic features of the species - becoming larger and acquiring thisckened and more irregular features. At the same time the red cells begin to enlarge and become less regular; typical Schuffner's dots appear in the red cell cytoplasm.


"