Actions

P.ovale early trophozoites gallery: Difference between revisions

From haematologyetc.co.uk

No edit summary
No edit summary
 
Line 12: Line 12:


<span style="font-size:95%">'''Summary'''</span>
<span style="font-size:95%">'''Summary'''</span>
<span style="font-size:95%">At the very earliest point of growth, the parasites retain a robust and large ring form. The typical species feature begin to appear as red cells may enlarge, possibly become ovoid and often develop fimbriation; typical James's dots in the red cell cytoplasm.
<span style="font-size:95%">At the very earliest point of growth, the parasites retain a robust and large ring form. The typical species feature begin to appear as red cells may enlarge, possibly become ovoid and often develop fimbriation; typical James's dots appear in the red cell cytoplasm.


----
----

Latest revision as of 11:26, 7 May 2024


Navigation
Go Back


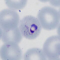
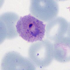
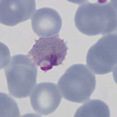
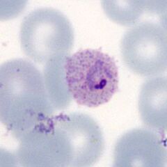
P.ovale gallery of early trophozoites


Summary At the very earliest point of growth, the parasites retain a robust and large ring form. The typical species feature begin to appear as red cells may enlarge, possibly become ovoid and often develop fimbriation; typical James's dots appear in the red cell cytoplasm.


"