Actions

Plasmodium ovale: Morphology: Difference between revisions

From haematologyetc.co.uk

(Created page with "---- '''Navigation'''</br> <span style="font-size:80%">(click blue highlighted text to return to page)</span></br></br> <span style="font-size:90%">Malaria main index</span></br> <span style="font-size:90%">>Species identification: summary page</span></br> <span style="font-size:90%">>>This page: <u>''P.ovale'': morphology</u></span> ---- {| class="wikitable" style="border-style: solid; border-width: 5px; border-color: #023020; color:black" |colspa...")
 
No edit summary
 
(8 intermediate revisions by the same user not shown)
Line 13: Line 13:


<gallery mode="nolines" widths=200px heights=200px>
<gallery mode="nolines" widths=200px heights=200px>
File:PVETc.jpg|link={{filepath:PVETc.jpg}}
File:POETc.jpg|link={{filepath:POETc.jpg}}
File:PVET main.jpg|link={{filepath:PVET main.jpg}}
File:POET main.jpg|link={{filepath:POET main.jpg}}
</gallery>
</gallery>
<br clear=all>
<br clear=all>
 
This early growth stage has mainly large sized ring forms, but also begins to acquire characteristic features of the species.
The earliest ring forms may be indistinguishable from other species, but during this stage the parasite tends to aquire a more irregular forms and to show signs of modification of the erythrocyte (added dots, and altered size and shape).
*Large and robust-appearing [[rings]], not usually multiply infected
 
*Red cells may become enlarged and may be ovoid or have a [[fimbriated]] apearance
*erythrocytes begin to show increased [[Red cell size and shape: P.vivax|size and altered shape]]  
*[[James' dots]] (indistinguishable from Schuffner’s dots) often appear
*parasites retain a ring form but may aquire a more irregular form
*Pigment will not generally be present at the early trophozoite stage
*parasites are generally large - occupying up to half of the erythrocyte
*cytoplasmic [[Schüffner's dots]] may appear at this stage, although pigment is less uncommon




<div style="width: 350px">
<div style="width: 350px">
{| class="wikitable" style="border-left:solid 4px navy;border-right:solid 4px navy;border-top:solid 4px navy;border-bottom:solid 4px navy; font-size:90%; color:navy; align:center"
{| class="wikitable" style="border-left:solid 4px navy;border-right:solid 4px navy;border-top:solid 4px navy;border-bottom:solid 4px navy; font-size:90%; color:navy; align:center"
| colspan="1"''|[[P.vivax early trophozoites gallery|Click for ''P.vivax'' early trophozoite gallery]]''
| colspan="1"''|[[P.ovale early trophozoites gallery|Click for ''P.ovale'' early trophozoite gallery]]''
|}
|}
</div>
</div>
Line 42: Line 40:


<gallery mode="nolines" widths=200px heights=200px>
<gallery mode="nolines" widths=200px heights=200px>
File:PVLTc.jpg|link={{filepath:PVLTc.jpg}}
File:POLTc.jpg|link={{filepath:POLTc.jpg}}
File:PVLT main.jpg|link={{filepath:PVLT main.jpg}}
File:POLT main.jpg|link={{filepath:POLT main.jpg}}
</gallery>
</gallery>
<br clear=all>
<br clear=all>
Line 49: Line 47:
   
   


The later growth stage during which parasites grow considerably and lose their ring appearance, this process is accompanied by substantial modification of the red cell and metabolism of it's haemoglobin to form malaria pigment.  
During this growth stage parasites grows but generally retain a ring shape, this process is accompanied by further modification of the red cell with ovoid and fimbriated features more common; metabolism of haemoglobin causes malaria pigment to form.  
   
   
*infected erythrocytes become significantly enlarged and irregular in shape
*Parasites become larger and thickened, but the ring form is generally retained
*parasites lose their ring appearnace becoming irregular and "[[amoeboid]]" in form
*[[Red cell enlargement]] is seen and distortion causing ovoid and [[fimbriated]] forms
*numerous red/purple Schüffner's dots are predent in the cytoplasm of red cells
*[[James’ dots]] will now be prominent in appropriately stained specimens
*[[malaria pigment]] is often present and has an irregular distribution
*[[Pigment]] will now be seen over the surface of the parasite




<div style="width: 350px">
<div style="width: 350px">
{| class="wikitable" style="border-left:solid 4px navy;border-right:solid 4px navy;border-top:solid 4px navy;border-bottom:solid 4px navy; font-size:90%; color:navy; align:center"
{| class="wikitable" style="border-left:solid 4px navy;border-right:solid 4px navy;border-top:solid 4px navy;border-bottom:solid 4px navy; font-size:90%; color:navy; align:center"
| colspan="1"''|[[P.vivax late trophozoites gallery|Click for ''P.vivax'' late trophozoite gallery]]''
| colspan="1"''|[[P.ovale late trophozoites gallery|Click for ''P.ovale'' late trophozoite gallery]]''
|}
|}
</div>
</div>
Line 73: Line 71:
<gallery mode="nolines" widths=200px heights=200px>
<gallery mode="nolines" widths=200px heights=200px>
File:PVSc.jpg|link={{filepath:PFSc.jpg}}
File:PVSc.jpg|link={{filepath:PFSc.jpg}}
File:PVS main.jpg|link={{filepath:PFS main.jpg}}
File:POS main.jpg|link={{filepath:POS main.jpg}}
</gallery>
</gallery>
<br clear=all>
<br clear=all>
Line 79: Line 77:
The asexual stage of [[malaria parasite development]] - only some trophozoites form schizonts, but those that do undergo successive cycles of replication within the red cell to generate multiple [["merozoites"]] that then each invade a new red cell to continue and increase the infection.
The asexual stage of [[malaria parasite development]] - only some trophozoites form schizonts, but those that do undergo successive cycles of replication within the red cell to generate multiple [["merozoites"]] that then each invade a new red cell to continue and increase the infection.


*a range of maturing schizonts will generally be present within enlarged red cells  
*A range of [[maturing schizonts]] will generally be present within moderately enlarged red cells  
*when mature schizonts may contain 16-24 separate merozoites  
*When mature schizonts may contain 16-24 separate [[merozoites]]
*[[Schüffner's dots]] can be detected in any residual cytoplasm of the erythrocyte  
*[[James' dots]] can be detected in any residual cytoplasm of the erythrocyte  
*[[Malaria pigment|malaria pigment]] is visible in irregularly distributed clumps over the schizont surface
*[[Malaria pigment|malaria pigment]] is visible in irregularly distributed clumps over the schizont surface


Line 87: Line 85:
<div style="width: 350px">
<div style="width: 350px">
{| class="wikitable" style="border-left:solid 4px navy;border-right:solid 4px navy;border-top:solid 4px navy;border-bottom:solid 4px navy; font-size:90%; color:navy; align:center"
{| class="wikitable" style="border-left:solid 4px navy;border-right:solid 4px navy;border-top:solid 4px navy;border-bottom:solid 4px navy; font-size:90%; color:navy; align:center"
| colspan="1"''|[[P.vivax schizont gallery|Click for ''P.vivax'' schizont gallery]]''
| colspan="1"''|[[P.ovale schizont gallery|Click for ''P.ovale'' schizont gallery]]''
|}
|}
</div>
</div>
Line 102: Line 100:


<gallery mode="nolines" widths=200px heights=200px>
<gallery mode="nolines" widths=200px heights=200px>
File:PVGc.jpg|link={{filepath:PVGc.jpg}}
File:POGc.jpg|link={{filepath:POGc.jpg}}
File:PVG main.jpg|link={{filepath:PVG main.jpg}}
File:POG main.jpg|link={{filepath:POG main.jpg}}
</gallery>
</gallery>
<br clear=all>
<br clear=all>
Line 111: Line 109:
The sexual replication form (very distinctive).
The sexual replication form (very distinctive).


*red cells are very large and have ovoid or distorted forms  
*Red cells are very large and have ovoid or distorted forms  
*macrogametocytes (female form) will often entirely fill the erythrocyte  
*[[Macrogametocytes]] (female form) will often entirely fill the erythrocyte  
*microgametocytes (male form) have a cytoplasmic rim with visible Schüffner's dots
*[[Microgametocytes]] (male form) have a cytoplasmic rim with visible Schüffner's dots
*[[Malaria pigment|malaria pigment]] is clumped evenly over the surface of the gametocyte
*[[Malaria pigment|malaria pigment]] is clumped evenly over the surface of the gametocyte


Line 119: Line 117:
<div style="width: 350px">
<div style="width: 350px">
{| class="wikitable" style="border-left:solid 4px navy;border-right:solid 4px navy;border-top:solid 4px navy;border-bottom:solid 4px navy; font-size:90%; color:navy; align:center"
{| class="wikitable" style="border-left:solid 4px navy;border-right:solid 4px navy;border-top:solid 4px navy;border-bottom:solid 4px navy; font-size:90%; color:navy; align:center"
| colspan="1"''|[[P.vivax gametocyte gallery|Click for ''P.vivax'' gametocyte gallery]]''
| colspan="1"''|[[P.ovale gametocyte gallery|Click for ''P.ovale'' gametocyte gallery]]''
|}
|}
</div>
</div>

Latest revision as of 21:25, 13 December 2024


Navigation
(click blue highlighted text to return to page)

Malaria main index
>Species identification: summary page
>>This page: P.ovale: morphology


The early trophozoite



This early growth stage has mainly large sized ring forms, but also begins to acquire characteristic features of the species.

  • Large and robust-appearing rings, not usually multiply infected
  • Red cells may become enlarged and may be ovoid or have a fimbriated apearance
  • James' dots (indistinguishable from Schuffner’s dots) often appear
  • Pigment will not generally be present at the early trophozoite stage





The late trophozoite




During this growth stage parasites grows but generally retain a ring shape, this process is accompanied by further modification of the red cell with ovoid and fimbriated features more common; metabolism of haemoglobin causes malaria pigment to form.

  • Parasites become larger and thickened, but the ring form is generally retained
  • Red cell enlargement is seen and distortion causing ovoid and fimbriated forms
  • James’ dots will now be prominent in appropriately stained specimens
  • Pigment will now be seen over the surface of the parasite




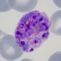
The schizont



The asexual stage of malaria parasite development - only some trophozoites form schizonts, but those that do undergo successive cycles of replication within the red cell to generate multiple "merozoites" that then each invade a new red cell to continue and increase the infection.

  • A range of maturing schizonts will generally be present within moderately enlarged red cells
  • When mature schizonts may contain 16-24 separate merozoites
  • James' dots can be detected in any residual cytoplasm of the erythrocyte
  • malaria pigment is visible in irregularly distributed clumps over the schizont surface




The gametocyte

The gametocyte




The sexual replication form (very distinctive).

  • Red cells are very large and have ovoid or distorted forms
  • Macrogametocytes (female form) will often entirely fill the erythrocyte
  • Microgametocytes (male form) have a cytoplasmic rim with visible Schüffner's dots
  • malaria pigment is clumped evenly over the surface of the gametocyte