Actions

Re-infection of the mosquito: Difference between revisions

From haematologyetc.co.uk

No edit summary
No edit summary
Line 27: Line 27:


<gallery mode="nolines" widths=140px heights=150px>
<gallery mode="nolines" widths=140px heights=150px>
File:ExF1.jpg|<span style="font-size:80%">''A''</span>|link={{filepath:ExF1.jpg}}
File:ExFl1.jpg|<span style="font-size:80%">''A''</span>|link={{filepath:ExFl1.jpg}}
File:ExF2.jpg|<span style="font-size:80%">''B''</span>|link={{filepath:ExF2.jpg}}
File:ExFl2.jpg|<span style="font-size:80%">''B''</span>|link={{filepath:ExFl2.jpg}}
File:ExF3.jpg|<span style="font-size:80%">''C''</span>|link={{filepath:ExF3.jpg}}
File:ExFl3.jpg|<span style="font-size:80%">''C''</span>|link={{filepath:ExFl3.jpg}}
File:ExF4.jpg|<span style="font-size:80%">''D''</span>|link={{filepath:ExF4.jpg}}
File:ExFl4.jpg|<span style="font-size:80%">''D''</span>|link={{filepath:ExFl4.jpg}}
</gallery>
</gallery>



Revision as of 14:02, 29 April 2024


Navigation
(click blue highlighted text to return to page)

Malaria main index
>Basic malaria biology
>>This page: Re-infection of the mosquito



Gametogenesis and sexual replication

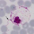
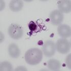
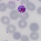
When a mosquito feeds from a malaria infected host, the blood meal will contain parasites of all forms. Importantly these forms include male and female gametocytes. The pH and temperature changes with the mosquito midgut cause the gametocytes to gain full sexual maturity (gametogenesis). The male gametocyte then undergoes 3 cycles of division to generate 8 male sexual forms (gametes). These then 8 gamaetes then "break out" of the male microgametocytes in a process known as exflagellation, and fuse with the female gamete (derived from the macrogametocyte) then following successful fusion move to the next stage of development with the mosquito gut wall. Finally the parasite enter the salivary glands of the mosquito as sporozoites where a new infection can be initiated.


Relevance to blood

In stored samples of blood, the changes of storage may partly mimic the conditions within the mosquito midgut leading to changes that would only normally be seen in the mosquito. Some may be difficult to easily recognise, but are clearly atypical in appearance others have very clear appearances of exflagellation. It is important to be able to recognise these forms.

In the initial stage involves both the male microgametocytes and female macrogametocytes swelling and becoming more globular (A) (often clumping together). At this stage they may be difficult to recognise unless you are familiar with the form. The following stages are quite recognisable for the male gametocte as the male gametes burst from the erythrocytes in the process of exflagellation this may be seen as the early emergence (B), red cell swelling and disollution (C) and emergence of the gametes (D).