Multiple parasites: Difference between revisions
From haematologyetc.co.uk
No edit summary |
No edit summary |
||
| Line 34: | Line 34: | ||
</gallery> | </gallery> | ||
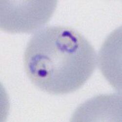
Double parasites in: late trophozoite of ''P.malaria'' (A) late trophozoite of ''P.vivax'' (B) and late trophozoite of P.ovale (C) | <span style="font-size:80%">Double parasites in: late trophozoite of ''P.malaria'' (A) late trophozoite of ''P.vivax'' (B) and late trophozoite of P.ovale (C)</span> | ||
Revision as of 22:02, 18 March 2024
Navigation
Go Back
| What are double infected cells?
In some cases more than one parasite (most often early or late trophozoites) can be seen within a single erythrocyte. This is surprisingly frequent suggesting some red cells are ore attractive to parasites, or that already infected cells are more susceptible.
The most frequent form - two early trophozoites of P.falciparum in a single erythrocyte
Species significance Most often considered a feature indicating P.falciparum infection, and is certainly frequent in that species where it can be used to support the diagnosis. However, the form should not considered as specific, and may occur in any species (and is also a frequent finding for babesia parasites). Additional images Double parasites in: late trophozoite of P.malaria (A) late trophozoite of P.vivax (B) and late trophozoite of P.ovale (C) |