SummaryAt this stage we look for typical (and often frequent) delicate rings within red cells that have normal (or slightly crenated) appearance. Forms often seen in this species include accolé forms, double chromatin dot forms, and multiple parasites within infected red cells.
Fine ring form The small and delicate form of this species
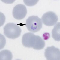
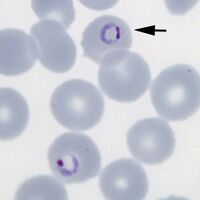
Double chromatin dot form Two chromatin dots (sometimes known as "signet ring" form).
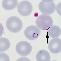
Accolé form: The arrowed form is closely associated with the red cell membrane
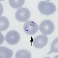
Multiple parasites Two parasites within a single red cells (arrowed)
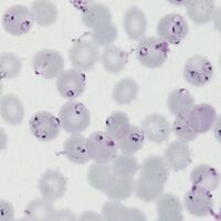
High parasitaemia Most of the typical early trophozoite P.falciparum forms are present