Actions

Biology of the gametocyte

From haematologyetc.co.uk

Revision as of 19:50, 7 November 2024 by Admin (talk | contribs)

Navigation
>Main Malaria Index
>>Malaria Biology Index
>>>Gametocyte Biology


Biology of the Gametocyte



The sexual form of the malarial parasite has either male or female form (a higher percentage are female). Generally male gametocytes (microgametocytes) are smaller then the female form (macrogametocytes). They are effectively “dormant” in blood and only develop further when ingested by a mosquito (the temperature drop in the mosquito foregut rapidly activates them to a single female gamete or 8 male gametes (see section on re-infection of the mosquito).


Morphological features and relevance

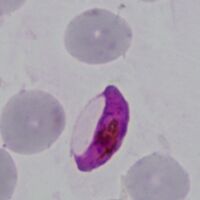
Gametocytes (like schizonts) are the final mature form of parasites in the blood, consequently they have metabolised all haemoglobin in order to grow. The red cell is therefore now simply a membrane that surrounds the parasite without any red colour, and with prominent malaria pigment that represents the metabolised haem iron. The appearance of gametocytes however does vary according to species and this can aid morphological species identification

P.falciparum In this species the gametocytes have a "rod" shape which may be constricted by the remaining red cell membrane to form a curved shape (often described as banana-shaped).



P.malariae Like other stages in this species the red cell containing the parasite is not enlarged or distorted and may be small. Parasites are typically small and neat with rounded form that do not fill the red cell.



P.vivax Typically these are very enlarged (significantly larger than normal red cells) often retaining the irregular shape that is typical of P.vivax trophozoites



(4) P.ovale – typically sightly enlarged and may be fimbriated

(5) P.knowlesi – typically sightly enlarged and may be fimbriated

Click for the clinical gametocyte gallery


Relevance of gametocytes to clinical biology


Following treatment of malaria these forms may persist (depending on the nature of the treatment) particularly in the first week but sometimes up to 28 days (unlike the asexual forms that generally disappear more rapidly).