Actions

Fragmented cells

From haematologyetc.co.uk

Revision as of 20:05, 19 February 2023 by John (talk | contribs) (Created page with " (schistocytes) '''Derivation:''' ''“schistos” [divided]'' ---- '''Appearance''' Irregularly shaped red cell fragments, often applied to cells that are asymmetrical with sharp projections; more rounded fragments may have a different significance. <gallery widths="180px" heights="180px" > File:Fr1a.png|link={{filepath:Fr1a.png}} </gallery> <span style="font-size:90%"> '''''Image 1''' These are the sharp fragmented forms that typically arise from fibrin-she...")
(diff) ← Older revision | Latest revision (diff) | Newer revision → (diff)


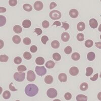
(schistocytes)

Derivation: “schistos” [divided]



Appearance

Irregularly shaped red cell fragments, often applied to cells that are asymmetrical with sharp projections; more rounded fragments may have a different significance.



Image 1 These are the sharp fragmented forms that typically arise from fibrin-shearing of erythrocytes and may be regarded as the end stage of the same process that leads to keratocyte formation.



Image 2 More blunt or rounded fragments can arise in a range of disorders where there is membrane instability or damage.




Significance

Fragmented cells are not found in normal blood. Sharp fragments may reflect “microangiopathic” damage - this form of fragmentation may therefore represent a medical emergency and should be reported immediately. More rounded fragments arise in significant dyserythropoiesis (such as severe myelodysplasia, membrane disorder or megaloblastic states).


Pitfalls

Fragments are a “final pathological form” arising in a variety of processes. It is important when reporting these cells therefore, to reflect whether the film appearances represent a disorder where fragmentation is the primary pathological process (generally sharp ended), or whether the fragments are a reflection of cell fragility in a wider haematological disorder (generally rounded).




Causes

Shearing processes (produce sharp fragments)
Fibrin strands
Microangiopathic haemolysis: thrombotic thrombocytic purpura, haemolytic uraemic syndrome, pregnancy associated - HELLP syndrome (haemolysis, elevated liver enzymes and low platelet count), or pre-eclampsia.
Disseminated intravascular coagulation
Myelofibrosis
Turbulent blood flow
Valvular heart disease
Haemangiosarcoma
Fragile erythrocytes
Congenital dyserythropoiesis
Myelodysplasia
Severe haematinic deficiency
Severe membrane disorder




Clinical examples



Clinical Image 1 Early fragmentation – note that for many cells there is still a resemblance to keratocytes. Other cells with membrane loss are also present (particularly spherocytes) and platelets are not seen. There is also polychromasia as the marrow responds to red cell loss. Clinical condition: thrombotic thrombocytopenic purpura.



Clinical Image 2 Established fragmentation –the damaged red cells are very angular having undergone several cycles of damage. The resemblance to keratocytes is now much less marked. Clinical condition: thrombotic thrombocytopenic purpura.



Clinical Image 3 "Blunt fragments” - note that the context is different with few normal cells present, and that the fragments have a rounded and often quite varied shape reflecting membrane fragility. Clinical condition: megaloblastic anaemia (deficiency of vitamin B12).



Clinical Image 4 "Blunt fragments” - like the previous example the fragments form part of a broad distribution of abnormal cell shapes that are rounded and often with irregular projections reflecting their abnormal fragility and formation. Clinical condition: thalassaemia intermedia.




Pathobiology


Fibrin deposition in small vessels causes mechanical “shearing” of red cells (this may also be a feature of severely turbulent flow of blood e.g. damaged heart valves). The fragmented cells arising from this mechanism should be viewed as a more severely damaged form of the keratocyte (which will often also be present). A second more rounded form of fragment arises in an intrinsically fragile red cell, where it is thought to represent membrane instability – here the fragments appear different and keratocytes are not generally present - look instead for features of severe inherited membrane disorder or dyserthropoietic states.