Actions

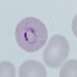
Double chromatin dot forms

From haematologyetc.co.uk

Revision as of 15:42, 15 March 2024 by John (talk | contribs)

Description

Early or late trophozoites where the chromatin dot has two separate masses - a double dot that is sometimes said to resemble a signet ring, although this really only applies for typical ring forms where dots are relatively close together.


Note how the chromatin dot of the ring form is divided into two purple masses


Species significance

Most often this appearance is considered to be a feature of P.falciparum and can be helpful to indicate this species; however the form is not specific and may occur in any species.


Additional images:

double chromatin dot forms in a late trophozoite of peovale a or early trophozoites of pevivax b peknowlesi