SummaryAt this stage we look for rings that are slightly thicker though still small with typical ring form, the red cells tend to become crenated and pale, losing central pallor as the parasites mature. Typical accolé forms, double chromatin dot forms, and multiple parasites within infected red cells are still present.
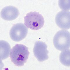
Late rings Two cells both with typical dots: multiply infected and double dot forms
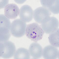
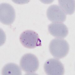
Double chromatin dot form also Maurers dost and clefts, slight crenation and lost pallor
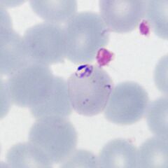
Accolé form: The arrowed form is closely associated with the red cell membrane
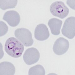
Multiple parasites Two parasites within a single red cells (arrowed)
High parasitaemia Most of the typical early trophozoite P.falciparum forms are present