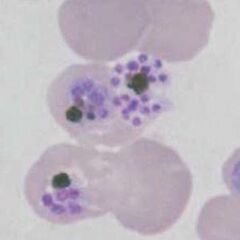
SummaryThe schizonts of P.falciparum sequester in the small vessels and rarely circulate in blood; when found they usually signify a very severe infection. If this is not the case then it is appropriate to ask if there is a different species causing the infection. Generally these are loosely formed with variable numbers of merozoites and a single clump of pigment, they are not "neat" like the parasites of P.malariae.
Mature schizonts note the clumped brown pigment surrounded by loosely arranged merooites
A single degenerate merozoite the parasite is recognisable with just 3-4 merozoites and no pigment within a degenerate erythrocyte
Accolé form: closely associated with the red cell membrane, scanty mauers dots