Actions

Red cell crenation description

From haematologyetc.co.uk

Revision as of 18:35, 6 June 2024 by Admin (talk | contribs)
(diff) ← Older revision | Latest revision (diff) | Newer revision → (diff)

Navigation
Go Back


When does red cell crenation occur?

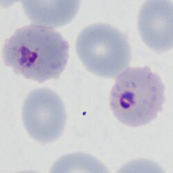
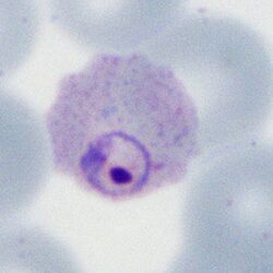
This refers to crenation of erythrocytes that contain parasites when the normal erythrocytes are unaffected, i.e. it is a feature of the presence of parasites. The finding is sometimes (though not always) seen in P.falciparum infection, particularly in later forms, and presumably rreflects altered red cell hydration.


Note that the parasite is very closely in contact with the red cell membrane (P.falciparum late trophozoite form with maurer's dots and clefts)


Species significance

Although most frequently a feature of P.falciparum infection, the feature is often not seen, and should not be considered fully species-specific.