Actions

Schüffner's dots description

From haematologyetc.co.uk

Revision as of 19:07, 6 June 2024 by Admin (talk | contribs) (Created page with "---- '''Navigation'''</br> Go Back ---- {| class="wikitable" style="border-style: solid; border-width: 4px; color:black" |colspan="1" style = "font-size:100%; color:black; background: FFFAFA"|<span style="color:navy>'''What are Schüffner's dots?'''</span> Schüffner's dots are red-purple dots seen in ''P.vivax''. They are morphologically indistinguishable from the James' dots of ''P.ovale'' but are very diffrent from the more dense and blue...")
(diff) ← Older revision | Latest revision (diff) | Newer revision → (diff)

Navigation
Go Back


What are Schüffner's dots?

Schüffner's dots are red-purple dots seen in P.vivax. They are morphologically indistinguishable from the James' dots of P.ovale but are very diffrent from the more dense and blue coloured Maurer's dots and clefts of P.falciparum. Like all parasite structures Schüffner's dots form progressively, and may not be seen in very early trophozoites.


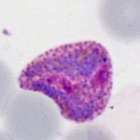
Well formed Schüffner's dots in a trophozoite of P.vivax; note that the dots are far too numerous to count and have a red/purple colour; remeber also that their appearance is highly dependent on the correct staining pH.


Species significance

These dots are a feature of P.vivax, but are morphologically indistinguishable from the James dots of P.ovale. Distinction between these species must therefore be made based on other diagnostic crieria.



Additional images

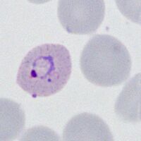
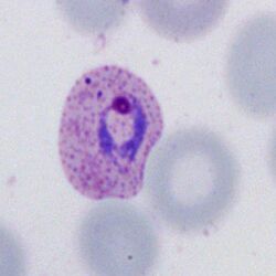
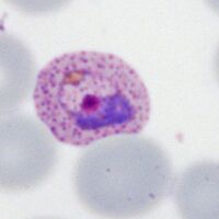
The appearance of Schüffner's dots during the develoment of P.vivax trophozites. These are shown from their earliest detectable form in an early trophozoite that has also begun to increase the size and distort the erythrocyte (A), these are more fully developed at later stages (B) and are highly visible in the amoeboid late trophozoite (C).