Actions

Accolé form description

From haematologyetc.co.uk


Navigation
Go Back


What is an Accolé form?

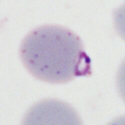
Accolé forms may also be referred to as "edge" or “appliqué” form, and describes parasites in early or late trophozoites where the parasite appears closely opposed to the edge of the erythrocyte membrane - usually appearing to be flattened against the erythrocyte membrane.


Note that the parasite is very closely in contact with the red cell membrane (P.falciparum late trophozoite form with maurer's dots and clefts)


Species significance

Most often considered to be a feature of P.falciparum infection and when frequent these appearances are helpful to indicate this species. However, the form is not fully specific and examples may occur in any species.


Additional images

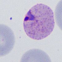
Malaria Accolé forms in: early trophozoite of P.malarae (A) early trophozoite of P.vivax (B) and ealy trophozoite of P.ovale (C). Note the differences in parasite and red cell size and shape and the presence or absence of additional dots