Actions

Amoeboid

From haematologyetc.co.uk


Navigation
Go Back


What are amoeboid forms?

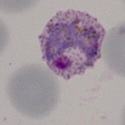
This term refers specifically to the late trophozoite of P.vivax and describes the solid and irregular form acquired as they mature this is said to resemble the shape of an amoeba with irregular shape and extended processes. Other features of P.vivax will also be detected at this developmental stage. .


Early and mature amoeboid trophozoites of P.vivax. The first image retains an impression of the original ring form, but the later parasite is typically amoeboid with substantial red cell enlargement and irregularlty and cytoplasmic dots.


Species significance

These features have good specificity for P.vivax, but other features should also be compatible with that species.