Actions

Haemoglobin crystals

From haematologyetc.co.uk


Derivation: Descriptive term: haemoglobin in crystalline form within an erythrocyte



Appearance

Variously described as tetragonal, hexagonal or rhomboidal crystals, but in practice highly variable shapes resembling rods, solid lumps or geometric shapes (see pathogenesis). The remainder of the cell will have reduced haemoglobin content and may have an empty (“ghost”) appearance.


The crystals appear as very dense haemoglobin areas that are classically hexagonal or rhomboidal, but in practice irregular shapes and particularly rods are common. The red cell will often be hypochromic and may appear as a ghost cell as the haemoglobin is condensed into the crystal form. The crystal form of haemoglobin indicates the presence of excess haemoglobin C (HbCC, HbSC, HbC-beta thalassaemia) so look for evidence of other typical cell types for the disorder.



Significance

The crystallisation process results from altered electrostatic properties of HbC caused by the loss of charge associated with the mutation– crystals therefore imply the presence of HbC. They form in homozygous HbC disease (HbCC), but may be found in HbSC and HbC/beta thalassaemia (they do not form in HbC heterozygotes).


Pathobiology

In Hb C, glutamic acid in the sixth position of the β-globin chain is replaced by lysine. This amino acid substitution alters the electrostatic interactions of the haemoglobin molecule leading to decreased solubility in its de-oxygenated (or hypertonic/dehydrated) state causing crystal formation. Impurities (other red cell proteins and denatured haemoglobin) are incorporated into the crystals and severely affect their growth so that perfect crystals tend not to formed: although often described as hexagonal or rhomboidal, very irregular or rod-like crystals are often seen.


Pitfalls

The crystal formation will often involve a large portion of the intracellular haemoglobin leaving an empty membrane shell. For this reason, there may be confusion with a hemighost or blister cell. The key here is to recognise the cellular background (particularly frequent target cells or boat cells), but also to appreciate the appearance of crystals.




Causes


The presence of haemoglobin C
Signifies any cell where HbC is present in significant amount: HbCC, HbSC HbC-beta thal.
Not HbC trait




Clinical Examples


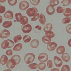
Clinical Image 1:The most obvious example has two rounded crystals within an empty “ghost” erythrocyte. The surrounding cells are dominated by contracted forms and target cells – some of which have rather dense and square looking “bulls eyes” (bottom centre of image). Clinical condition HbCC


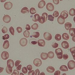
'Clinical Image 2: The clearest crystal present is in an elongated cell that has a boat-like form but containing a long central “rod” shaped crystal. Note also the elongated cell (upper left) in which the haemoglobin is contratcted to the two opposing poles of the cell. Clinical condition HbCC


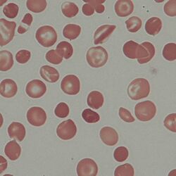
Clinical Image 3: A further elongated boat-shaped cell with a central “rod”. Clinical condition HbCC


Clinical Image 4: A ghost (empty) erythrocyte has a single condensed crystal of haemoglobin within it (lower centre of film). A second erythrocyte (lower right quadrant) has a central square of condensed haemoglobin crystal. Clinical condition HbCC