Actions

Malaria pigment description

From haematologyetc.co.uk


Navigation
Go Back


What is malaria pigment?


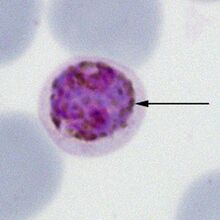
A solid and angular late trophozoite form of P.malariae. Note the golden pigment in separate clumps of granules distributed over the parasite surface (arrowed).


Description


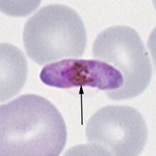
During their development malarial parasites metabolise the haemoglobin within erythrocytes to support their growth. Evetually infected cells at late stages of parasite development red cell may have no visible haemoglobin. As part of that process the parasite must "detoxify" the iron component of the haem element. This process creates a detoxified iron containing protein "haemazoin" which is visible as pigment - as you might expect this is most visible at late stages of parasite development.



Species significance

Pigment may vary in colour and may be clumped or scattered as individual small masses depending on species; in some instances this can help (most obviously in the central clump seen in the "daisy head" schizonts of P.malariae). Generally however, the form of the pigment is less useful than other features in determining species.



Additional images

Pigment in different stages of parasite development: