Actions

P.falciparum early trophozoites gallery

From haematologyetc.co.uk


Navigation
Go Back


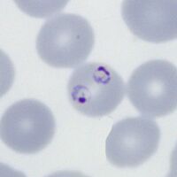
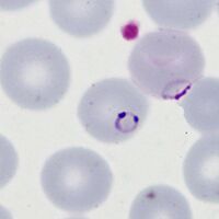
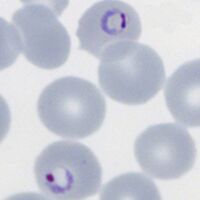
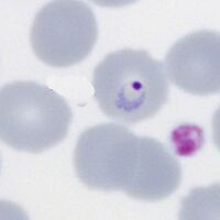
P.falciparum gallery of early trophozoites



P.falciparum
Small delicate rings, within red cells of normal (or slightly crenated) appearance.
These may be the only forms seen in some patients at diagnosis.
Some parasite forms are typical though not exclusive of the species, these include: accolé forms, double chromatin dot forms, and multiple parasites within infected red cells.