Actions

Staining pH

From haematologyetc.co.uk


Navigation
Go Back


Why is there an optimal pH for malaria evaluation?


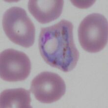
Trophozoites of P.vivax stained at pH7.4 (A) or pH6.9 (B ad C). Note that staining at the more alkaline conditions (pH7.4) gives the red cell a pale blue colour when compared to the acidic conditions (pH6.9), with these conditions making both the trophozoite and the added cytoplasmic dots more visible. Where pH7.4 is used the key features of parasite shape and red cell morphology can still be seen, but parasites are less evident and dots may be fainter (B) or absent (C).


Description


The best detection and species identification in malaria is made when staining is performed at a slightly more alkaline pH - this makes parasites more visible compared with the grey of the surrounding red cells and makes some structures such as cytoplasmic dots more visible. These features are detectable at standard staining pH and both detection and species identification can be performed, it is just less easy.